I would like to share a little about the services I offer to give you a fuller idea of what “permanent cosmetics or tattooing” is really about. Many are interested in learning exactly what we mean when we talk about “permanent cosmetics”. However reluctant, the interest has been sparked. Let me explain in “laymen’s terms” just what this is.
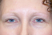
Permanent cosmetics/permanent makeup/cosmetic tattoo/micro dermal implantation are just some of the terms used to identify the procedure. I use safe topical anesthetics to numb the area of design first for your comfort. I then place pigment into the skin with a small needle/needles in a specific design approved by you. Beautifully shaped and custom designed eyebrows, eyeliner or lips. The previous shape and color has been determined and agreed upon by you and me, and the actual process only takes between 30-45 minutes. Procedures look darker and slightly larger for the next day or so but will soften, lighten and shrink within 3-5 days with beautiful results! I ask for you to return for a no charge follow up appointment in 4-6 weeks to make sure you are totally pleased with your new look! Natural and beautiful, that’s perfect!
Permanent eyebrows, permanent eyeliner, permanent lips, brow tattoo, eyebrow scars, eyeliner tattoo, lip tattoo, lip enhancements, lip liner, blended lip, full lip color, camouflage, scar camouflage, vitiligo affected skin, men’s brows (which I specialize in!) hair strokes, areola and nipple repigmentation for post mastectomy patients, cleft palette lip repair design, clients who have alopecia areata, alopecia totalis and alopecia universalis are just some of the conditions I encounter and procedures I perform.
These procedures last for many years but longevity is determined by sun exposure, certain medications and client care. Each client is given an aftercare kit with explanation and instructions to care for the new procedure to ensure the best results possible. I usually will see my clients for a maintenance retouch or color boost between 1½ yrs - 7 yrs and they pay a minimal cost at this time. Years of contentment, ease and freedom from applying topical makeup to the area! Husbands love the new minimal waiting time for their wives too!
My clients come from Snohomish county, King county, Whatcom county, Seattle, Olympia, Renton, Edmonds, Bellevue, Kirkland, Lynnwood, Mukilteo, Mill Creek, Snohomish, Everett, Tri cities, Spokane, Marysville, Tulalip, Arlington, Camano Island, Stanwood, Burlington, Mount Vernon, Anacortes, Bellingham, Portland, Oregon, California, Arizona, Washington and British Columbia! I hope this gives you an idea how far people will travel to find a great artist/technician. Maybe this is why I’m called “The Best in the Northwest” …
Before

After

Before

After
